A continuación puedes encontrar algunos de los innumerables resultados que, como especialistas en carillas dentales en Madrid, hemos logrado. ¡Visítanos para revisar tu caso en detalle!
Antes y Después.
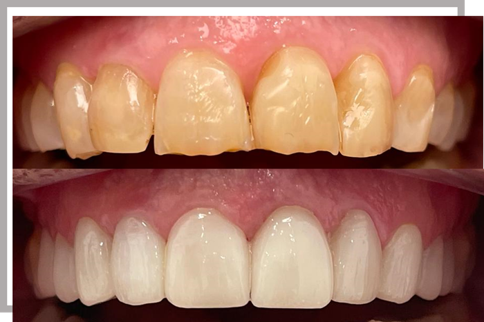
8 micro carillas arcada superior
Microcarillas 3D
¿Te imaginas transformar tu sonrisa de manera rápida y efectiva? ¡Ahora es posible!
Desde la primera consulta hasta el resultado final, te acompañamos en cada paso del camino. Con nuestras microcarillas 3D, experimentarás una transformación que no solo mejorará la apariencia de tus dientes, sino que también incrementará tu confianza.
Los resultados son simplemente espectaculares, logrando una sonrisa natural y radiante que siempre has deseado.
Un ejemplo de ello es nuestro paciente de 33 años, quien experimentó un cambio notable en su sonrisa, gracias a este innovador tratamiento. ¡El antes y el después hablan por sí solos!
Antes y Después Tratamiento combinado.
8 micro carillas arcada superior.
Ortodoncia con Invisalign + Alargamiento Coronario + Micro carillas con camuflaje defectos de color de esmalte y dentina.
Tras finalizar el tratamiento de Ortodoncia escaneamos la boca del paciente con un escáner fotográfico 3d Itero (imagen de en medio).
Sobre dicha imagen 3d se diseña por ordenador la nueva anatomía tanto de encías como de las futuras Micro carillas.
Una vez aprobados los diseños finales se procede a realizar el tratamiento de Alargamiento coronario y unos meses más tarde, una vez esté completamente estable la encía se procede a la colocación de las Micro carillas.
Paciente de 25 años.
Antes y Después de Carillas Dentales
En la imagen superior, podemos observar el estado inicial del paciente, donde se evidencian desgastes y alteraciones en la estructura dental.
En la imagen inferior, se aprecia el impresionante resultado del tratamiento. Los bordes incisales han sido cuidadosamente recuperados, restaurando la forma y el volumen natural de los dientes. Además, la anatomía dental ha sido redefinida, logrando un aspecto más armonioso y estético. El color de los dientes también ha sido mejorado significativamente, aportando una apariencia más brillante y saludable.
Este caso corresponde a un paciente de 43 años que, tras el tratamiento, ha recuperado la confianza en su sonrisa.
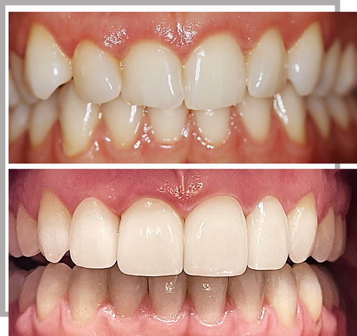
Antes y Después
7 micro carillas en arcada superior.
En la imagen superior, podemos observar bordes irregulares y cambios de color en el esmalte, indicativos del desgaste y la alteración que han afectado la apariencia dental del paciente.
En la imagen inferior, se aprecia una sonrisa completamente renovada. Gracias al rediseño de los bordes incisales, se ha logrado recuperar la simetría y la armonía en los dientes. Además, se han restaurado los volúmenes y la anatomía dental, proporcionando una estructura más natural y estética. El color de los dientes también ha sido notablemente mejorado, resultando en una sonrisa más brillante y juvenil.
Este notable cambio pertenece a un paciente de 57 años, quien ha experimentado una transformación que va más allá de lo estético, recuperando la confianza en su sonrisa.
Antes y Después recuperación de anatomía y color de los dientes. 10 micro carillas en arcada superior.
En la imagen superior, correspondiente al estado inicial del paciente, podemos apreciar composites deteriorados que ya han cumplido su ciclo, bordes incisales fracturados que afectan la estructura y funcionalidad de los dientes, y un tono amarillento en el esmalte, evidenciando el desgaste y el paso del tiempo.
En la imagen inferior, se observa una notable recuperación de la anatomía dental. Los dientes han sido restaurados a su forma natural, y el color ha sido mejorado significativamente, logrando un tono más uniforme y brillante. El resultado es una sonrisa renovada que no solo mejora la estética, sino que también devuelve la confianza al paciente.
Este cambio corresponde a un paciente de 62 años, quien ahora puede disfrutar de una sonrisa rejuvenecida y saludable.
Antes y Después Tratamiento combinado. 4 micro carillas en arcada superior.
Ortodoncia con Invisalign + Microcarillas
Después de completar el tratamiento de ortodoncia con Invisalign, damos un paso más hacia la sonrisa perfecta. Utilizando un escáner fotográfico 3D de alta precisión, Itero, capturamos una imagen detallada de la boca del paciente (como se muestra en la imagen central).
A partir de esta imagen 3D, se diseña digitalmente la nueva anatomía de las futuras Microcarillas, asegurando que se adapten perfectamente a la estructura dental y cumplan con las expectativas estéticas del paciente.
Una vez que los diseños finales son aprobados, procedemos a la colocación de las Microcarillas, logrando una sonrisa que combina armonía, funcionalidad y belleza.
Este proceso integral ha sido realizado en un paciente de 32 años, quien ahora disfruta de una sonrisa transformada, fruto de la combinación de tecnología avanzada y técnicas estéticas de vanguardia.
Antes y Después Tratamiento combinado. 4 Micro Carillas en arcada superior.
Ortodoncia con Invisalign + Microcarillas
En esta vista lateral, correspondiente al mismo paciente de la imagen anterior, se puede apreciar claramente la efectividad del tratamiento. La ortodoncia con Invisalign ha logrado una notable corrección del canino y el incisivo lateral, alineándolos de manera precisa y armoniosa con el resto de la dentadura.
Además, el rediseño de los incisivos ha sido realizado con un enfoque detallado en la anatomía dental, garantizando que los bordes, volúmenes y formas se integren de manera natural. Las cuatro microcarillas colocadas muestran una excelente integración tanto en su aspecto como en el color, logrando una perfecta armonía con los dientes naturales adyacentes.
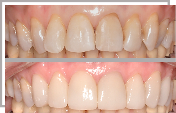
Antes y Después Tratamiento combinado
Este paciente, que originalmente se colocó coronas a los 49 años en otro centro dental, decidió a los 64 años replantearse el cambio de las mismas. Con el paso del tiempo, las coronas anteriores ya no cumplían con sus expectativas estéticas ni funcionales.
Antes de proceder con el cambio, se llevaron a cabo tratamientos para resolver problemas en las encías, asegurando una base saludable para el nuevo diseño de la sonrisa. Posteriormente, el paciente nos solicitó un rediseño completo de su sonrisa, aprovechando los avances en los materiales dentales.
Los materiales actuales ofrecen una estética superior, gracias a su capacidad para reflejar la luz, sus transparencias más realistas y una anatomía dental que imita con mayor precisión la naturaleza de los dientes. El resultado es una sonrisa que no solo es más atractiva, sino que también se integra perfectamente con la apariencia general del paciente.
Ahora, a los 65 años, el paciente disfruta de una sonrisa renovada que combina salud, funcionalidad y una apariencia más natural y juvenil.
Antes y Después rediseño de anatomía y color de los dientes. 8 micro carillas.
En la imagen superior, correspondiente al estado inicial, apreciamos deterioro del esmalte con marcas por fluorización del agua. Tono desigual y amarillento de esmalte.
En la imagen inferior se ha rediseñado la sonrisa con la nueva anatomía de los dientes y mejorado el color.
Paciente de 27 años.
Antes y Después Opacidad Total. 20 micro carillas.
Carillas de Opacidad total. Tratamiento combinado Carillas y corona sobre implante.
En pacientes con defectos de color en esmalte o dentina muy acusados realizamos tratamientos de Carillas con opacidad total.
Escaneamos la boca del paciente con un escaner fotográfico 3d Itero.
Sobre dicha imagen 3d se diseña por ordenador la nueva anatomía de las futuras Microcarillas y de la corona sobre implante que se aprecia en incisivo lateral superior izquierdo.
Una vez aprobados los diseños finales se procede a la colocación de las Microcarillas y de la corona.
Paciente de 49 años.
Antes y Después
En este caso, las carillas han sido la solución perfecta para abordar dos problemas principales.
El primero es la presencia de defectos en el esmalte, que afectaban tanto la estética como la salud dental. El segundo problema es una mordida colapsada, que comprometía la funcionalidad y la alineación adecuada de los dientes.
Este es un caso especialmente interesante y satisfactorio, en el que hemos utilizado carillas para el sector anterior, mejorando la apariencia de los dientes visibles al sonreír. Para los sectores posteriores, donde se requiere mayor resistencia y funcionalidad, hemos optado por incrustaciones de porcelana, asegurando una solución duradera y estéticamente armoniosa.
El paciente, de 38 años, ahora disfruta de una sonrisa renovada, donde tanto la forma como la función han sido restauradas de manera efectiva y elegante.
Antes y Después
REDISEÑO DE CARILLAS
Paciente que con 29 años sufrió traumatismo dental en sector anterior superior.
Tras someterse a tratamientos en otros centros y no quedar satisfecha con el resultado acudió a nuestro Centro para rediseñar las carillas que le pusieron. La paciente aportó multitud de fotos de sus dientes antes del traumatismo para poder explicar el resultado que deseaba, básicamente era conseguir recuperar la sonrisa de siempre. Participó activamente en la fase de diseño digital y se realizaron varios Mockup para conseguir la precisión de diseño que necesitaba.
Paciente 31 años.
Antes y Después de Carillas con MockUp
En la primera cita, llevamos a cabo varias pruebas diagnósticas para entender en detalle la situación del paciente. Durante esta consulta inicial, el paciente nos expresa sus necesidades estéticas y expectativas, lo que nos permite personalizar el tratamiento según sus deseos.
Procedemos a realizar un escaneo 3D de la anatomía de sus dientes y encías, capturando una imagen precisa que servirá como base para todo el proceso. Utilizando esta imagen, desarrollamos un DSD (Diseño de Sonrisa Digital), que nos permite planificar y visualizar cómo se verá la sonrisa final antes de comenzar el tratamiento.
En la imagen superior, podemos observar el estado inicial del paciente, donde se evidencian las áreas que requieren intervención. En la imagen intermedia, se superpone el diseño digital de las futuras carillas sobre el estado actual, mostrando una vista previa del resultado esperado. Finalmente, en la imagen inferior, se aprecia el resultado final, donde las carillas han sido colocadas, logrando una transformación que cumple con las expectativas estéticas y funcionales del paciente.
Este caso corresponde a un paciente de 52 años que ahora disfruta de una sonrisa renovada, cuidadosamente diseñada para mejorar su apariencia y confianza.
